LIXIVIATION, FRAGMENTATION ET INCORPORATION
Les flux d'eau qui traversent les litières et le sol peuvent entraîner avec eux des ions minéraux mais aussi des molécules organiques solubles : on parle alors de lixiviation de carbone organique dissous.
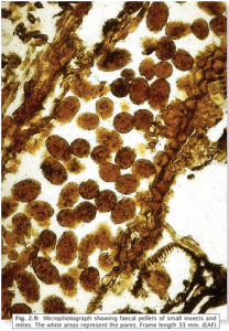
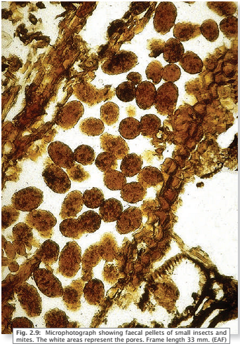
Microphotographie montrant les boulettes fécales riches en carbone de petits arthropodes saprophages - European atlas of soil biodiversity. EAF: EA Fitzpatrick | Les détritus, qui peuvent être initialement de grande taille, sont fragmentés progressivement par des effets mécaniques (piétinement par exemple) et par l'action de différents organismes de la faune du sol. Ces organismes se nourrissent en ingérant et en assimilant partiellement des fragments de matière organique, qu'ils découpent avec leurs pièces buccales et/ou dans leur tube digestif. Cette activité saprophage a généralement aussi pour effet de déplacer la matière organique dans le profil de sol et donc de l'incorporer dans le sol, à cause des déplacements des animaux pendant le transit digestif. On peut ainsi retrouver des boulettes fécales de différents animaux, très riches en fragments de matière organique de différente taille, à différents niveaux dans le sol. |
On parle d' « ingénieurs des litières » pour qualifier les organismes qui réalisent cette fragmentation et redistribution dans les horizons de litières.


On appelle ces matières organiques fragmentées les « matières organiques particulaires ». Elles ont encore une structure similaire aux matières organiques fraîches d'origine (on peut encore y reconnaître par exemple au microscope les parois cellulaires), mais elles ont une plus grande surface développée par unité de masse que les matières organiques fraîches de départ.
Certains animaux de la macrofaune qu'on nomme « ingénieurs du sol », notamment les vers de terre anéciques, les termites et les fourmis, ont un impact majeur sur l'incorporation dans les premiers horizons du sol de résidus et matières organiques particulaires issus de la surface.

------
Auteur : Claire Marsden
Médiatisation : Emilie Alaux, Sarah Clerquin
